Primaa, l’intelligence artificielle qui assiste les médecins dans le diagnostic des cancers

Et si l’intelligence artificielle devenait l’alliée des médecins pour détecter les cancers plus vite, plus précisément… mais sans jamais remplacer l’humain ?

L’intelligence artificielle (IA) est fascinante ! Hier encore, j’écoutais un reportage sur son utilisation dans le domaine de la justice… C’est apparemment un gain de temps pour les magistrats, mais le raisonnement final reste humain, selon une avocate interrogée. Le ministère de la Justice a d’ailleurs reçu un rapport fourni par des magistrats qui demandent la création d’un assistant officiel IA, présenté dans ce communiqué. Alors je m’interroge : jusqu’où la technologie peut-elle aller sans déshumaniser la justice ou la médecine d’ailleurs ? Eh bien, voici un exemple qui redonne foi en l’innovation utile et bienveillante : Primaa, une medtech française fondée par Marie Sockeel, 40 ans, récemment récompensée au concours Tech for Future 2025 (catégorie Santé). Leur logiciel d’IA baptisé Cleo assiste les médecins dans le diagnostic de cancers (peau, sein, prostate) avec une précision chirurgicale et un gain de temps impressionnant. Une avancée majeure que je vous présente immédiatement.

Primaa et Cleo, qu’est-ce que c’est ?

L’idée de Primaa est d’une simplicité redoutable : mettre la puissance de l’IA au service des anatomopathologistes, ces experts qui analysent les tissus au microscope à la recherche de cellules cancéreuses. Grâce à Cleo, les images numériques de lames histologiques sont passées au crible en un temps record. L’algorithme repère automatiquement les biomarqueurs tumoraux et signale les zones suspectes à examiner. Un diagnostic qui prenait autrefois plusieurs jours peut aujourd’hui être posé en quelques heures. Et non, Cleo ne se prend pas pour un médecin : elle assiste sans remplacer. Une approche validée par la recherche, comme le prouve l’étude publiée dans PLOS Digital Health signée Rémy Peyret et al., sur la détection automatisée de carcinomes invasifs du sein. Et, si Primaa brille en France, elle séduit aussi à l’international : un communiqué officiel de collaboration entre Gestalt Diagnostics et Primaa annonce le déploiement de la technologie pour détecter les cancers de la peau (mélanomes, carcinomes basocellulaires, etc.) via la plateforme PathFlow. De quoi donner un vrai coup d’accélérateur à la lutte contre ces maladies.

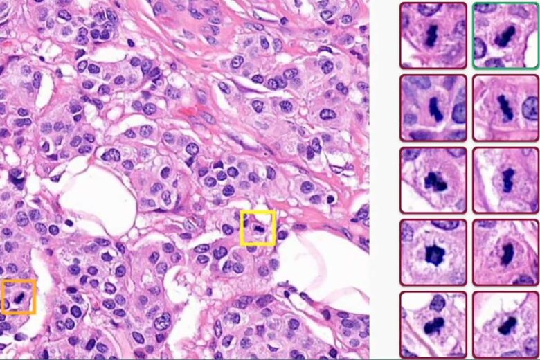
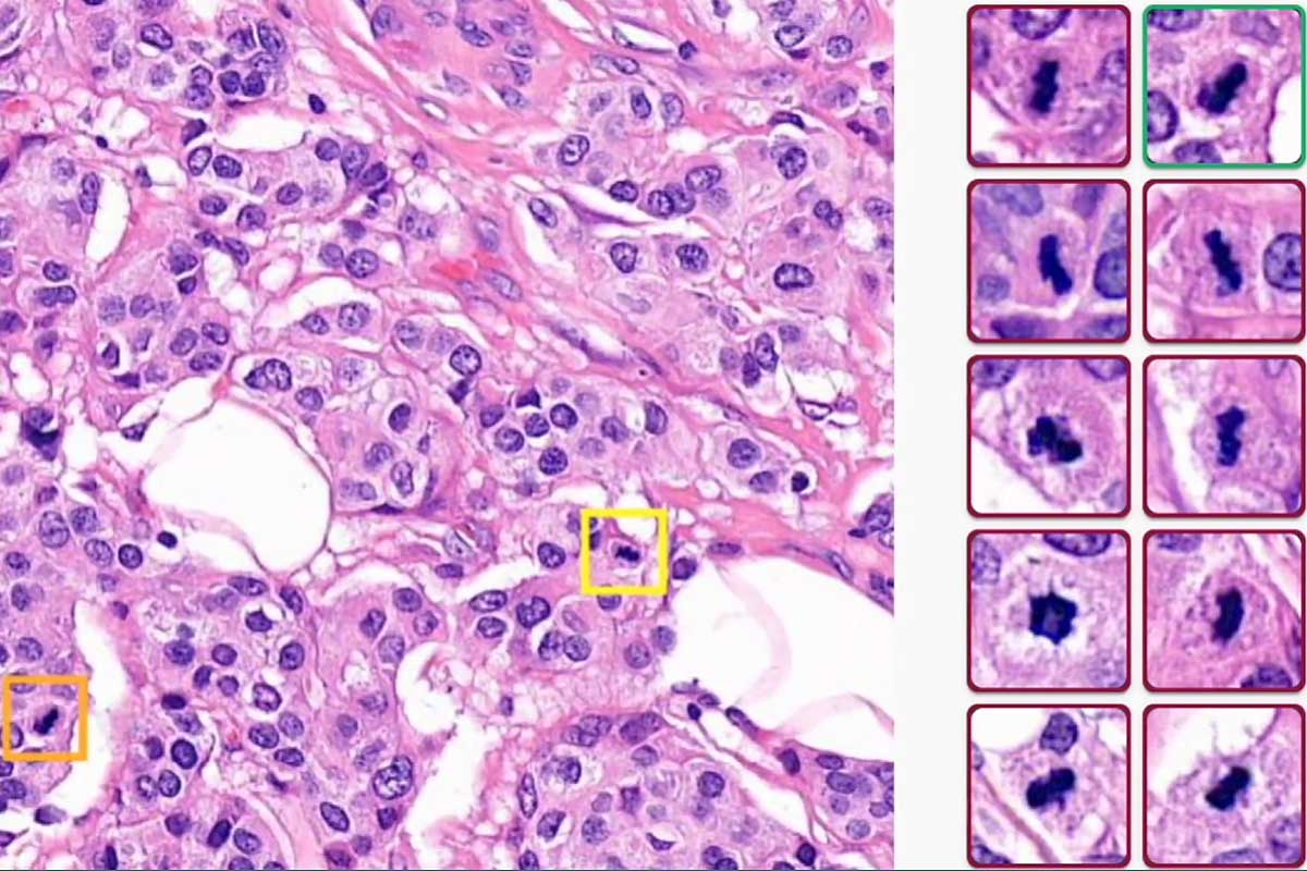
Détection de tous les objets de mitose et les points chauds de mitose dansles régions cancéreuses.
Détection de tous les objets de mitose et les points chauds de mitose dans les régions cancéreuses. Crédit photo : Primaa

Pourquoi cette invention est essentielle ?

C’est une avancée majeure pour la médecine augmentée, mais surtout une bouffée d’espoir pour les patients et leurs familles. Et, croyez-moi, quand on a déjà attendu des semaines dans l’angoisse d’un résultat, on mesure toute l’importance de ce genre d’innovation. Pour rappel, le site Ameli.fr souligne à quel point le dépistage régulier des cancers reste essentiel, à tout âge. Selon Santé publique France, ces maladies restent la première cause de mortalité en France, avec plus de 160 000 décès par an. Alors forcément, quand une start-up s’attaque à ce fléau, ce ne peut être qu’une excellente nouvelle ! Avec à la clé, un désengorgement des cabinets médicaux, plutôt bienvenu !

Pourquoi cette innovation change la donne ?

Soyons honnêtes : les médecins ne manquent pas de talent, mais souvent de temps. Et, c’est là que Primaa entre en scène, avec des bénéfices bien concrets :

  • Gain de temps pour les laboratoires et les praticiens.
  • Réduction du risque d’erreur humaine, grâce à la standardisation des analyses.
  • Moins d’attente et une prise en charge plus rapide pour les patients.
  • Respect de l’éthique médicale : le verdict reste entre des mains humaines.
  • Conformité européenne sur la santé numérique.

Nous vous en parlions déjà dans cet article sur le test salivaire de dépistage du cancer du sein et dans celui sur le kit domestique contre le cancer du col de l’utérus. Ces inventions ouvrent la voie à une médecine plus préventive, plus proche de chacun. Mais, Primaa va encore plus loin, en donnant aux hôpitaux un outil concret et immédiatement utile, sans bouleverser leurs habitudes.

Détection de mélanome de la peau assistée par intelligence artificielle.
Détection de mélanome de la peau assistée par intelligence artificielle. Crédit photo : Primaa

L’intelligence artificielle au service de la vie

Avec Primaa, on n’imagine plus des robots à blouse blanche, mais une main invisible qui seconde les médecins, avec rigueur et bienveillance. Cleo apprend chaque jour de nouveaux cas, affine ses modèles, et améliore sans cesse la fiabilité de ses analyses. Et moi, quand je vois certains proches attendre de longues semaines un compte rendu d’examen, je me dis que cette IA a vraiment du sens. Moins d’attente, moins de stress, plus d’espoir. Voilà ce que promet cette innovation française qui, soyons honnêtes, redonne un peu de fierté technologique à notre pays. Pour en savoir plus, le site officiel PrimaaLab.com détaille les solutions Cleo, leurs collaborations et les perspectives d’évolution. Alors, seriez-vous prêt, vous aussi, à faire confiance à une IA bienveillante comme Cleo pour aider les médecins à détecter le cancer plus vite et sauver davantage de vies ? Que pensez-vous de cette solution ? Dites-le-nous en commentaire : cliquez ici pour publier un commentaire . Une erreur s’est glissée ? Vous pouvez également nous en faire part !

Rejoignez nos 950 000 abonnés via notre Newsletter , Google Discover et WhatsApp
Source
Primaalab.com

Nathalie Kleczinski

Journaliste passionnée de lecture et d'écriture, il était presque logique que je me tourne vers le métier de rédactrice professionnelle. Écrire est une passion, un besoin et une manière de communiquer indispensables. Touche-à-tout de l'écriture, j'aime surtout écrire sur des sujets liés à l'environnement, mais aussi à ceux qui prodiguent… Voir plus »

Laisser un commentaire

Votre adresse e-mail ne sera pas publiée. Les champs obligatoires sont indiqués avec *


Bouton retour en haut de la page